Mon enfant a des aphtes

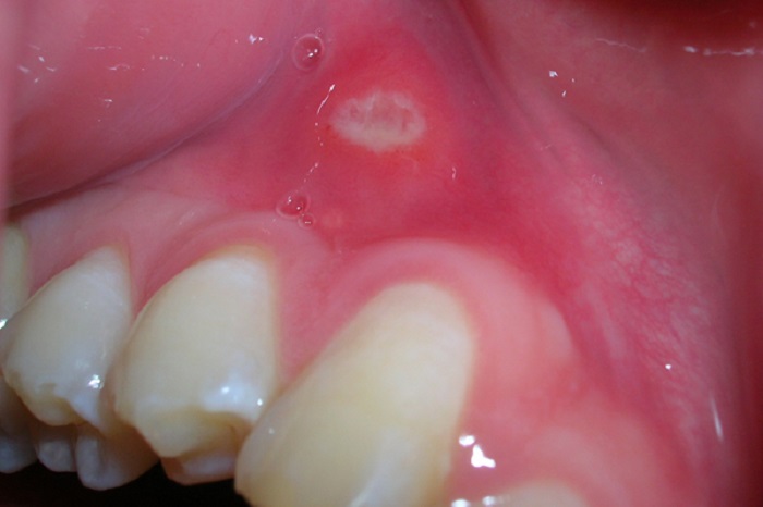
Votre enfant se plaint de douleurs dans la bouche et vous observez de petites lésions ulcérées (aphtes) sur ses gencives. Elles recouvrent la langue, le palais et parfois la face interne des joues. Elles sont très douloureuses. Si elles sont trop nombreuses, votre enfant n’arrive plus à se nourrir correctement. Ces lésions ulcérées guérissent d’elles-mêmes en une dizaine de jours.

 

aphte

Qu'est-ce que c'est?

Les aphtes peuvent être provoqués par différents virus dont l’herpès ou les entérovirus. Ce sont les enfants de moins de 3 ans qui sont généralement les plus touchés. Ils ont alors de la fièvre et des symptômes grippaux.

Comment soigner votre enfant?

Il n’existe pas de médicament pour faire disparaître les aphtes. Ils guérissent d’eux-mêmes après quelques jours.

Pour diminuer la douleur : 

  • Si votre enfant a mal ou que sa température dépasse 38,5 °C et qu’il est inconfortable, administrez-lui du paracétamol ou de l’ibuprofène.
  • Il existe des médicaments antalgiques (contre la douleur) sous forme de spray (par exemple Deaftol® spray) ou des pastilles à sucer (Deaftol®, Angina®).
  • Votre pédiatre peut vous prescrire une solution antidouleur à tamponner sur les aphtes, elle sera préparée par votre pharmacien.
  • Vous pouvez également utiliser des sachets d’Ulcogant® gardés au congélateur. Donnez-les comme une sucette à votre enfant. L’Ulcogant® va alors fabriquer une sorte de pansement dans la bouche de votre enfant.
Attention

Veillez à ce que votre enfant boive suffisamment pour éviter le risque de déshydratation.

Quand votre enfant peut-il reprendre la crèche ou l’école? 

Dans le cas d’aphtes provoqués par un virus, la transmission est possible par la salive. En Suisse romande, la médecine scolaire autorise l’accueil de votre enfant à l’école.

Les aphtes buccaux simples ne sont pas contagieux.

Le bon conseil

Donnez à votre enfant un régime léger à base d’aliments frais et faciles à avaler (purées...). Éviter les aliments solides, trop chauds ou épicés et les boissons gazeuses pendant quelques jours.

Quand faut-il consulter votre pédiatre?

Immédiatement si :

  • votre enfant n’a pas uriné depuis 8 heures 
  • l’état de votre enfant vous inquiète.
     

Dans les 24 heures si :

  • votre enfant n’arrive pas à boire correctement 
  • la fièvre dure plus de trois jours 
  • il continue à avoir mal malgré le traitement.