Mon enfant est malade
Consulter
l'atlas santé
Urgences
144
Mon enfant est malade
Accueil
Fiches
Les auteurs
Le livre
Urgences pédiatriques
Télécharger l'application INFOMED
Consulter l'atlas santé
Urgences 144
Accueil
Pédiatrie
Ce site répond aux questions essentielles : Quelle est cette maladie ? Comment soigner votre enfant ? Que faire en cas d’accident ?
Recherche
Thématiques
Mon enfant est malade
Les bons gestes
Les gestes qui sauvent
Les signes d'alerte
Mon enfant doit prendre un médicament
Mon enfant s'est blessé
A
Mon enfant est malade
Acné
Votre adolescent a des petits kystes blancs, des points noirs ou des boutons rouges. Noir, blanc, rouge : l’acné en fait voir de toutes les ...
Voir les fiches
Mon enfant est malade
Allergique généralisée
Il vient de manger du poisson et il devient rapidement tout rouge, ses lèvres sont gonflées, sa gorge pique et il a de la peine à respirer.
Voir les fiches
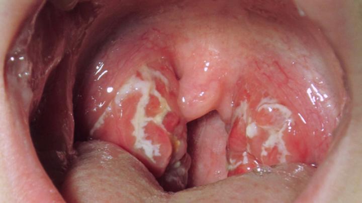
Mon enfant est malade
Angine
Votre enfant a mal à la gorge, surtout lorsqu’il déglutit. Il a moins d’appétit, de la fièvre et un gonflement des ganglions du cou. En obse...
Voir les fiches
Mon enfant doit prendre un médicament
Anti-inflammatoire non stéroïdien
Il existe plusieurs sortes d’anti-inflammatoires non stéroïdiens.
Voir les fiches
Mon enfant est malade
Aphtes
Votre enfant se plaint de douleurs dans la bouche et vous observez de petites lésions ulcérées (aphtes) sur ses gencives.
Voir les fiches
Mon enfant est malade
Asthme
Votre enfant tousse, il a une respiration difficile et sifflante. Il a de la peine à sortir l’air de ses poumons, c’est-à-dire à expirer. Le...
Voir les fiches
Mon enfant s'est blessé
Avalé un médicament
Vous retrouvez votre enfant avec une plaquette de comprimés ou une bouteille de sirop vides, et vous vous demandez s’il a avalé ces médicame...
Voir les fiches
Mon enfant s'est blessé
Avalé un objet
Votre enfant joue avec une pièce de monnaie dans la bouche quand, tout à coup, il l’avale.
Voir les fiches
Mon enfant s'est blessé
Avalé un produit toxique
Vous retrouvez votre enfant dans la cuisine avec une bouteille de produit de lavage pour le lave-vaisselle dans les mains. Vous soupçonnez q...
Voir les fiches
B
Mon enfant s'est blessé
Bosses, coups ou foulures
Si le coup est suffisamment violent, un saignement va se produire sous la peau à l’endroit du choc et il se forme alors un « bleu ».
Voir les fiches
Mon enfant est malade
Bronchiolite
Votre bébé vous inquiète car depuis quelques jours il a un rhume, il tousse et a de la fièvre.
Voir les fiches
Mon enfant est malade
Bronchite obstructive
Votre bébé a plus d’une année et il tousse, il a un rhume avec une légère fièvre. Il vous inquiète car il a une respiration sifflante et il ...
Voir les fiches
Mon enfant s'est blessé
Brûlé
Mon enfant s’est brûlé en renversant une casserole d’eau bouillante.
Voir les fiches
C
Mon enfant s'est blessé
Cassé une dent
Votre enfant est tombé sur le visage et s’est cassé une dent. Vous retrouvez un morceau de dent par terre.
Voir les fiches
Mon enfant est malade
Cellulite
Votre enfant a une zone rouge sur la peau qui s’étend progressivement. La rougeur est parfois centrée par une petite blessure ou un bouton. ...
Voir les fiches
Mon enfant doit prendre un médicament
Céphalosporines
Il existe plusieurs sortes de céphalosporines.
Voir les fiches
Mon enfant s'est blessé
Chuté sur la tête
Votre enfant a chuté sur la tête. Il est pâle mais il a pleuré immédiatement après la chute. Il a vomi une fois et il semble fatigué.
Voir les fiches
Mon enfant s'est blessé
Coincé un objet dans…
Votre jeune enfant est un grand explorateur et il a réussi à coincer un petit objet dans...
Voir les fiches
Mon enfant est malade
Coliques
Votre nourrisson vous inquiète car il pleure tout le temps. Il pousse des hurlements et ses genoux sont repliés sur son ventre.
Voir les fiches
Mon enfant est malade
Conjonctivite
Votre enfant se plaint d’avoir mal aux yeux avec une sensation de sable sous les paupières. Ses yeux sont rouges et larmoient. Au réveil, il...
Voir les fiches
Mon enfant doit prendre un médicament
Constipation
À quoi sert un laxatif ? Les laxatifs osmotiques agissent en augmentant simplement la quantité d’eau dans les selles, ce qui les ramollit et...
Voir les fiches
Mon enfant est malade
Constipé
Votre enfant ne va pas à la selle régulièrement, ses selles sont difficiles à éliminer.
Voir les fiches
Mon enfant est malade
Convulsion fébrile
Lors d’un pic de fièvre, subitement, votre enfant ne vous répond plus et perd connaissance. Il a des tremblements incontrôlés de son corps c...
Voir les fiches
Mon enfant est malade
Coqueluche
Votre bébé vous inquiète car, depuis quelque temps, il a de violentes quintes de toux qui l’épuisent.
Voir les fiches
Mon enfant s'est blessé
Coupé
Que faire si votre enfant s'est blessé.
Voir les fiches
D
Les bons gestes
Déboucher le nez des bébés
Si votre enfant a le nez bouché, rincez-lui le nez avec du « sérum physiologique ».
Voir les fiches
Mon enfant s'est blessé
Décharge électrique
Votre enfant a mis ses doigts ou un objet métallique dans une prise et a reçu une décharge électrique.
Voir les fiches
Les gestes qui sauvent
Défibrillateur automatique
Le défibrillateur automatique est un appareil que vous trouvez dans certains lieux publics.
Voir les fiches
Mon enfant est malade
Dents
Votre enfant pleure et bave sans cesse. Vous vous demandez : « est-ce qu’il fait ses dents ? »
Voir les fiches
E
Mon enfant est malade
Eczéma
Vous avez remarqué sur la peau de votre enfant une éruption de plaques rouges et sèches. Ces plaques le démangent beaucoup, elles surviennen...
Voir les fiches
Les gestes qui sauvent
En cas d’étouffement
Votre enfant a mis un petit objet ou un morceau de nourriture dans sa bouche et n’arrive plus à respirer.
Voir les fiches
Mon enfant est malade
Erythème infectieux
Votre enfant a le rhume, une fièvre modérée et mal à la gorge. Vous observez des plaques rouges sur les joues, comme si votre enfant avait é...
Voir les fiches
Mon enfant s'est blessé
Etouffé avec un objet
Soudain, votre enfant a une violente quinte de toux alors qu’il avait une cacahuète dans la bouche et il cherche à reprendre sa respiration....
Voir les fiches
F
Mon enfant est malade
Faux croup
Votre enfant a des quintes de toux « comme un chien qui aboie ». Il a souvent de la peine à respirer, la voix enrouée et une légère fièvre. ...
Voir les fiches
Mon enfant est malade
Fesses rouges
Votre enfant développe des plaques rouges sous les couches-culottes qui s’étendent de jour en jour.
Voir les fiches
Mon enfant est malade
Fièvre
Votre enfant a la nuque et le front chauds ainsi que les mains froides. Il frissonne et ne se sent pas en forme. Vous contrôlez sa températu...
Voir les fiches
Mon enfant s'est blessé
Fracture
Votre enfant est tombé. La douleur l’empêche de marcher. Il a très mal et refuse que l’on bouge sa jambe. Il s’agit peut-être d’une fracture...
Voir les fiches
G
Mon enfant est malade
Gale
Votre enfant se gratte vigoureusement et il développe une éruption de minuscules boutons (papules) rouges.
Voir les fiches
Mon enfant est malade
Ganglion tuméfié
Votre enfant a une boule sur le côté du cou qui a enflé récemment. Cette voussure est légèrement rouge et douloureuse.
Voir les fiches
Mon enfant est malade
Gastro-entérite
Votre enfant vomit tout ce qu’il avale, il émet de nombreuses selles liquides et nauséabondes (diarrhée) et a de la fièvre. Il a mal au vent...
Voir les fiches
Mon enfant est malade
Grippe
Votre enfant tousse, a mal à la gorge et le nez qui coule. Il a de la fièvre, des courbatures et mal à la tête. Il ne se sent vraiment pas e...
Voir les fiches
H
Mon enfant est malade
Hernie inguinale
Lorsque votre bébé pleure, une bosse est apparue au niveau de l’aine. Cette voussure se présente comme une boule ferme et mobile qui diminue...
Voir les fiches
Mon enfant est malade
Hernie ombilicale
Votre bébé a une voussure qui apparaît au niveau du nombril lorsqu’il pleure, tousse ou crie. La bosse se présente comme une masse ronde et ...
Voir les fiches
I
Mon enfant est malade
Impétigo
Vous avez remarqué l’apparition de boutons autour de son nez ou de sa bouche.
Voir les fiches
Les gestes qui sauvent
Inconscient
Voici les gestes à faire d'urgence si votre enfant est inconscient.
Voir les fiches
Mon enfant est malade
Infection urinaire
Votre enfant se plaint d’avoir des brûlures en urinant. Il a tout le temps envie d’aller aux toilettes et urine très souvent par petites qua...
Voir les fiches
J
Mon enfant est malade
Jaunisse
Votre bébé est âgé de quelques jours, vous avez remarqué que sa peau et le blanc de ses yeux se colorent progressivement en jaune.
Voir les fiches
L
Les signes d'alerte
Les signes d'alerte
Voici une liste des signes d'alerte qui doivent vous faire consulter immédiatement votre pédiatre ou un centre d'urgences pédiatriques.
Voir les fiches
M
Mon enfant est malade
Mal
Il pleure avec un cri aigu, il se tortille et vous n’arrivez pas à le calmer.
Voir les fiches
Mon enfant est malade
Mal au ventre
Votre enfant a subitement mal au ventre, il pleure et reste couché de côté, recroquevillé. Il refuse de manger.
Voir les fiches
Mon enfant est malade
Malade
Votre enfant a souvent le nez qui coule et il enchaîne rhumes, angines, faux croup, conjonctivites et bronchites. Vous vous demandez si c’es...
Voir les fiches
Mon enfant est malade
Malaise
Votre adolescent vient de faire un malaise avec une perte de connaissance : il s’est évanoui.
Voir les fiches
Les gestes qui sauvent
Massage cardiaque
Placez votre enfant sur le dos sur une surface dure. Agenouillez-vous à ses côtés.
Voir les fiches
Mon enfant doit prendre un médicament
Médicament
Dans cette rubrique, nous citons d’abord le nom de la substance active du médicament, suivie d’un nom de marque déposée accompagné d’un « ® ...
Voir les fiches
Mon enfant doit prendre un médicament
Médicament contre les allergies (antihistaminique)
Les antihistaminiques soignent les symptômes d’une allergie tels que les démangeaisons de la peau, le nez qui coule, les éternuements ou enc...
Voir les fiches
Mon enfant doit prendre un médicament
Médicament par inhalation
Les médicaments sous forme de spray (aérosol) se mélangent à l’air et seront inhalés par votre enfant en quelques respirations.
Voir les fiches
Mon enfant est malade
Molluscums
Votre enfant a des boutons blancs ou de couleur chair ressemblant à de petites perles lisses centrées par un minuscule orifice.
Voir les fiches
Mon enfant est malade
Mononucléose
Votre enfant a de la fièvre depuis plusieurs jours, il est fatigué et se plaint d’avoir mal à la gorge en avalant.
Voir les fiches
Mon enfant s'est blessé
Mordu
Votre enfant s’est fait mordre par un chien, un chat ou par l’un de ses petits camarades...
Voir les fiches
Mon enfant est malade
Mort subite du nourrisson
C’est le décès soudain et inattendu d’un bébé âgé de moins d’un an qui survient lors de son sommeil.
Voir les fiches
Mon enfant est malade
Muguet
Vous remarquez des petits points ou des plaques blanches sur la langue et dans la bouche de votre bébé.
Voir les fiches
N
Mon enfant s'est blessé
Noyade
Vous retrouvez un enfant la tête dans l’eau et il est inconscient.
Voir les fiches
O
Mon enfant est malade
Ongle incarné ou panaris
Votre enfant a mal à un orteil depuis quelques jours. Le bord de son orteil est enflé.
Voir les fiches
Mon enfant est malade
Oreillons
Votre enfant a ses deux joues gonflées, son visage est déformé en forme de poire.
Voir les fiches
Mon enfant est malade
Orgelet
Votre enfant a un petit bouton sur le bord de la paupière surmonté d’un petit point de pus.
Voir les fiches
Mon enfant est malade
Otite
Votre enfant se plaint d’avoir une douleur à l’oreille, il entend moins bien et a l’impression d’avoir les oreilles bouchées.
Voir les fiches
Mon enfant est malade
Otite externe
Votre enfant a mal à l’oreille. La douleur augmente quand on lui tire le pavillon (lobe) de l’oreille.
Voir les fiches
P
Mon enfant doit prendre un médicament
Paracétamol
Ce médicament existe sous plusieurs noms de marques déposées. .
Voir les fiches
Mon enfant doit prendre un médicament
Pénicilline
Il existe plusieurs sortes de pénicillines selon l’infection à soigner.
Voir les fiches
Mon enfant est malade
Pénis rouge, trop serrée ou gonflée
Vous n’arrivez pas à décalotter le pénis de votre petit garçon.
Voir les fiches
Mon enfant est malade
Pipi au lit
Votre enfant mouille régulièrement son lit. Pendant le jour, il est propre et demande pour aller aux toilettes de façon appropriée.
Voir les fiches
Mon enfant s'est blessé
Piqué par un insecte
Voici une liste d’insectes qui sévissent dans nos contrées et quelques conseils pratiques en cas de piqûre : guêpe, frelon ou abeille.
Voir les fiches
Mon enfant est malade
Pneumonie
Votre enfant vous inquiète car il a une toux grasse, sa respiration est rapide et difficile.
Voir les fiches
Les gestes qui sauvent
Position latérale de sécurité
Si votre enfant est inconscient et qu’il respire : placez-le en position latérale de sécurité.
Voir les fiches
Mon enfant est malade
Poux
Votre enfant a de petits parasites noirs qui se cachent dans les cheveux ainsi que des lentes qui sont de minuscules œufs blanchâtres collan...
Voir les fiches
Mon enfant s'est blessé
Pronation douloureuse du coude
Votre enfant pleure et ne bouge plus son bras depuis que vous l’avez soulevé ou tiré en le prenant par la main.
Voir les fiches
R
Mon enfant est malade
Reflux gastro-oesophagien
À chaque tétée, du lait remonte et coule de la bouche de votre bébé. Lors des régurgitations, il arrive parfois que votre nourrisson grimace...
Voir les fiches
Les gestes qui sauvent
Respiration artificielle
Pour les bébés et les enfants.
Voir les fiches
Mon enfant est malade
Rhume
Votre enfant a le nez bouché, il renifle tout le temps et a une toux sèche. Sa gorge est irritée et picote. Il a parfois de la fièvre et mal...
Voir les fiches
Mon enfant est malade
Rhume de hanche
Votre enfant a mal au niveau de la hanche, il boite et refuse de poser son pied par terre.
Voir les fiches
Mon enfant est malade
Rhume des foins
C’est le printemps et votre enfant éternue, il a le nez bouché qui coule et picote.
Voir les fiches
Mon enfant est malade
Roséole
Votre nourrisson a de la fièvre depuis deux jours sans avoir d’autre symptôme : sans toux, rhume, mal à la gorge ou diarrhée.
Voir les fiches
Mon enfant est malade
Rougeole
Votre enfant vous inquiète car il est couvert de boutons, il est très fatigué et il vous semble vraiment malade.
Voir les fiches
Mon enfant est malade
Rubéole
Votre enfant est couvert de minuscules boutons rouges et il a une légère fièvre.
Voir les fiches
S
Mon enfant est malade
Saigne du nez
Soudain, votre enfant saigne du nez. Du sang frais rouge coule d’une narine.
Voir les fiches
Mon enfant est malade
Scarlatine
Votre enfant vous inquiète car il a une forte température, il frissonne, et se plaint d’avoir mal à la gorge.
Voir les fiches
Mon enfant est malade
Sinusite
Votre enfant a le nez qui coule depuis plus de dix jours. Cet écoulement est jaune-vert et nauséabond, il s’évacue par les narines ou dans l...
Voir les fiches
Mon enfant doit prendre un médicament
Solution de réhydratation
Une solution de réhydratation est une poudre contenant du glucose (sucre) et des électrolytes (sels).
Voir les fiches
Mon enfant est malade
Spasme du sanglot
Votre enfant vient d’avoir une sorte de « crise » provoquée par une contrariété, une peur ou une douleur.
Voir les fiches
Mon enfant est malade
Surpoids
Vous trouvez que votre enfant prend beaucoup de poids et qu’il a des petits bourrelets sur le ventre.
Voir les fiches
Mon enfant est malade
Syndrome pied-main-bouche
Votre enfant a une fièvre modérée et mal à la gorge. Vous observez des petits boutons rouges accompagnés parfois de vésicules, sur ses mains...
Voir les fiches
T
Les bons gestes
Température
La température normale d’un enfant se situe entre 36,5 et 37,5°C. Entre 37,5 et 38°C, il s’agit d’une fièvre peu élevée.
Voir les fiches
Mon enfant est malade
Torsion testiculaire
Votre adolescent vous inquiète car il a très, très mal dans la région des testicules ou dans le bas-ventre.
Voir les fiches
Mon enfant est malade
Torticolis
Votre enfant a la tête penchée sur le côté. Il n’arrive pas à redresser sa tête car cela lui fait mal. La musculature de son cou est contrac...
Voir les fiches
Mon enfant est malade
Tousse
La toux nettoie les poumons et les débarrasse des sécrétions (glaires) contaminées par des microbes.
Voir les fiches
U
Mon enfant est malade
Urticaire
Des plaques rouges avec un centre plus clair apparaissent sur la peau de votre enfant. D’une heure à l’autre, ces plaques disparaissent, pui...
Voir les fiches
V
Mon enfant est malade
Varicelle
De minuscules cloques contenant du liquide clair sont apparues sur la peau de votre enfant.
Voir les fiches
Mon enfant est malade
Verrue
Votre enfant a une petite bosse rugueuse de couleur chair sous le pied ou sur les doigts.
Voir les fiches
Les gestes qui sauvent
Voies aériennes
Lorsque votre enfant est inconscient, la position de sa tête obstrue le passage de l'air.
Voir les fiches